Imūnhistoķīmija un tās nozīme diagnostikā
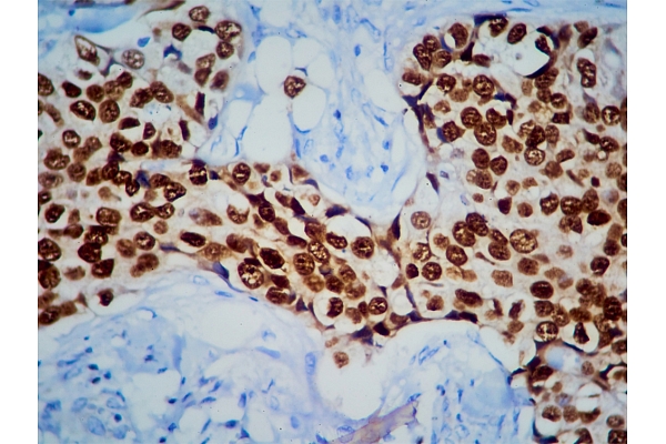
Viena no papildu krāsošanas metodēm, veicot histoloģiskās analīzes, ir imūnhistoķīmiskā (IHĶ) krāsošana. Imūnhistoķīmija ir specializēta krāsošanas metode, kurā izmanto antivielas, lai noteiktu specifiskus proteīnus audu paraugos. Audu paraugi tiek iekrāsoti ar speciāliem marķieriem, kas ļauj mikroskopā vizuāli saskatīt un noteikt konkrētu proteīnu (antigēnu) klātbūtni audos. Imūnhistoķīmija diagnostikas procesā nodrošina precizitāti un skaidrību. IHĶ samazina diagnostisko nenoteiktību sarežģītos vai robežgadījumos, palīdz atšķirt labdabīgus audzējus no ļaundabīgiem, primārus no metastātiskiem. Ar imūnhistoķīmijas palīdzību uzlabojas histoloģisko rezultātu ticamība.
Kādos gadījumos izmanto imūnhistoķīmiju?
Imūnhistoķīmija ir būtiska metode mūsdienu histoloģiskajā diagnostikā. Bieži vien šī metode tiek izmantota diagnozes precizēšanai, jo tā specifiski iekrāso mērķa šūnas vai audus un ir vieglāk noteikt patoloģisko stāvokli. Kopumā IHĶ ir ļoti svarīga loma tieši ļaundabīgo audzēju diagnostikā un klasifikācijā, palīdzot ne tikai noteikt audzēja veidu, bet arī novērtēt audzēja agresivitāti un izvēlēties efektīvāko ārstēšanas metodi. Papildus vēža diagnostikai imūnhistoķīmisko krāsošanu izmanto arī dažādu autoimūno slimību, kā arī baktēriju vai vīrusu izraisītu infekciju diagnostikai.
Kā tiek veikta imūnhistoķīmija?
Tāpat kā visi izmeklējumi histoloģijā, arī imūnhistoķīmija sākas ar audu parauga paņemšanu – biopsiju vai operāciju. Pēc tam paraugs tiek fiksēts formalīnā, speciāli apstrādāts un ieguldīts parafīnā, lai saglabātu audu struktūru. Laboratorijā audi tiek sagriezti ļoti plānos, apmēram 3 mikrometru, griezumos un novietoti uz priekšmetstikliņiem. Sākotnēji paraugi tiek krāsoti ar hematoksilīnu un eozīnu, un tikai tad, ja sākotnējā diagnostikā redz histoloģisko ainu, kas jānosaka precīzāk, tiek atkal veidoti jauni preparāti, kas tiek krāsoti ar dažādām imūnhistoķīmijas antivielām. Tas rada krāsojumu, norādot mērķa proteīna atrašanās vietu. Tālāk audu paraugs tiek apskatīts mikroskopā, kur patologs analizē krāsojuma intensitāti un lokalizāciju, lai noteiktu diagnozi.
Imūnhistoķīmija ir viena no precīzākajām metodēm mūsdienu diagnostiskajā patohistoloģijā. Tā sniedz iespēju identificēt specifiskus proteīnus šūnās, palīdzot ne vien noteikt audzēju veidu un izcelsmi, bet arī prognozēt slimības gaitu un izvēlēties piemērotāko ārstēšanu. Tādēļ imūnhistoķīmiskā krāsošana nav tikai diagnostikas veids, bet gan svarīgs instruments ārstniecības procesā.
Akadēmiskā histoloģijas laboratorija piedāvā saviem klientiem kvalitatīvu un precīzu imūnhistoķīmijas izmeklējumu veikšanu, kas ir pamats veiksmīgai pacientu ārstēšanai.












